Ecocardiografía

Evaluación especializada del corazón del bebé durante el embarazo.

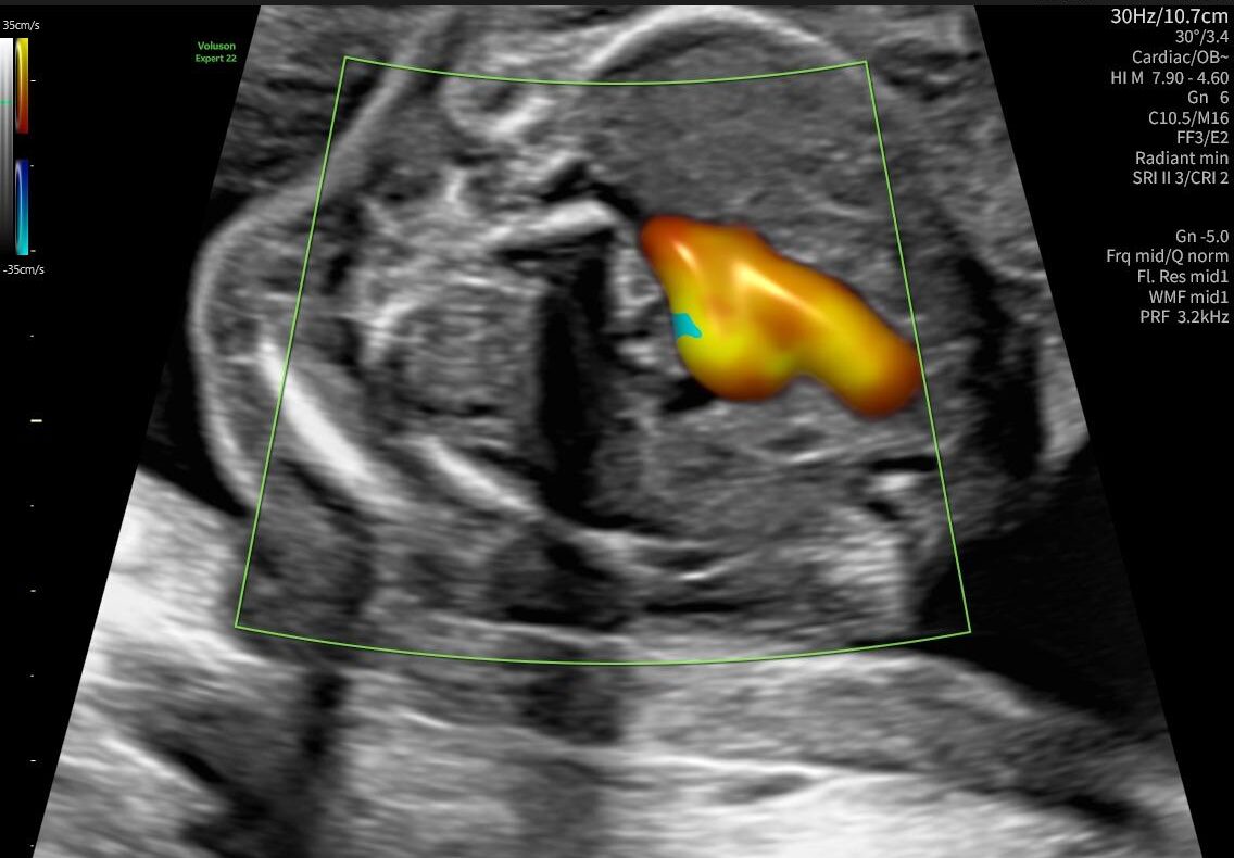
La ecocardiografía fetal es un estudio ecográfico avanzado que permite analizar con detalle la estructura y el funcionamiento del corazón del bebé antes de nacer. Este examen ayuda a identificar posibles alteraciones cardíacas y a evaluar el desarrollo adecuado del sistema cardiovascular fetal.

 

A través de imágenes ecográficas de alta precisión, los especialistas pueden observar las cavidades del corazón, las válvulas y el flujo sanguíneo, lo que permite realizar un diagnóstico prenatal más completo.

 

En OBGYN PERÚ, este estudio es realizado por profesionales especializados en diagnóstico prenatal, utilizando tecnología moderna que permite evaluaciones detalladas y seguras, brindando tranquilidad a los padres y un seguimiento médico adecuado cuando es necesario.