Ecografía Ginecológica

Diagnóstico oportuno y prevención para el cuidado de la salud femenina.

Descubre la Ecografía Ginecológica

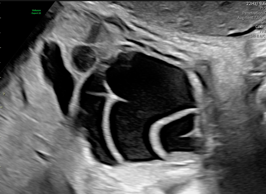
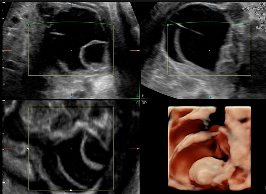
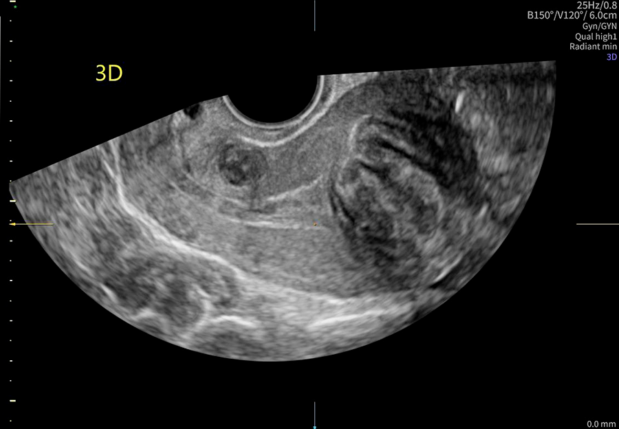
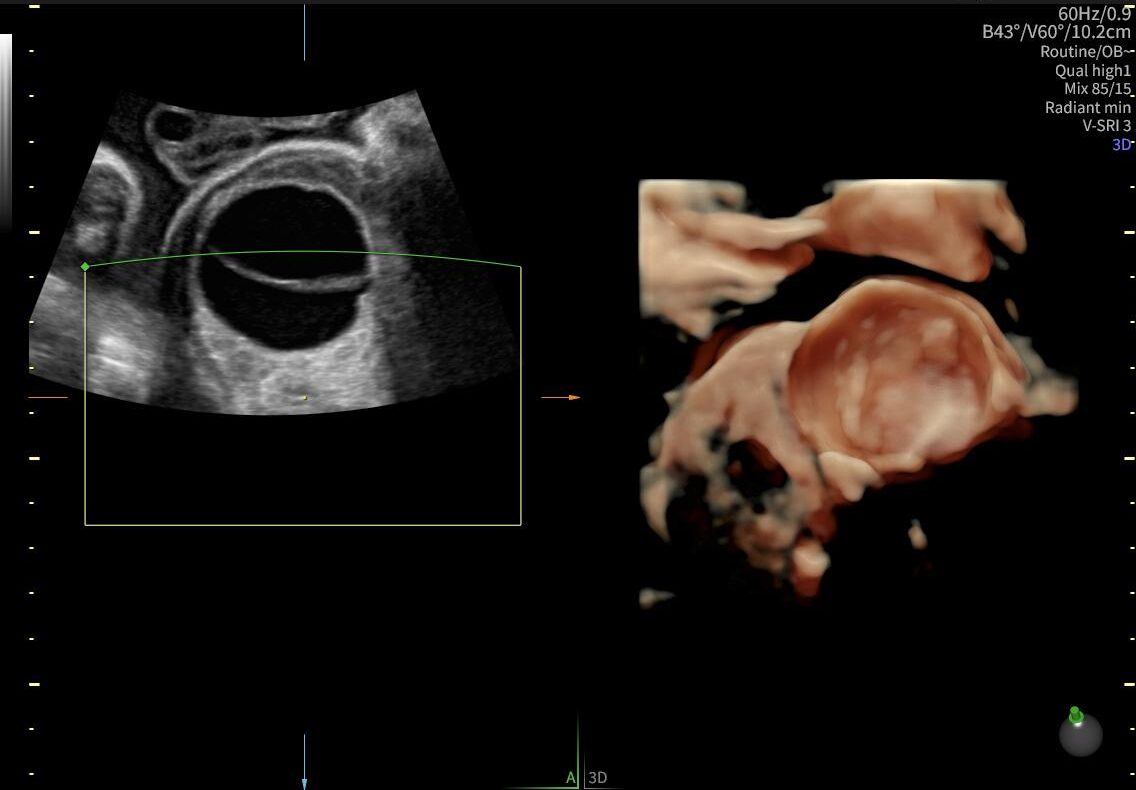
La ecografía ginecológica es un estudio por imágenes no invasivo que permite evaluar de forma precisa el útero, los ovarios y el sistema reproductor femenino. Es una herramienta fundamental para la detección temprana de alteraciones ginecológicas, el seguimiento de tratamientos y los controles preventivos.


En OBGYN Perú, realizamos ecografías ginecológicas con equipos de alta resolución, garantizando resultados confiables y una atención médica especializada.